









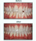
Everyone wants nice looking straght teeth. Now Armor Guard brings you another affordable custom product. Custom Braces and Aligners to make your teeth look perfect. Your first step is to text or email us a well lite clear picture of your teeth to get pre-approved. After approval you will pay in full and we will send you a self made teeth impression kit, Once we receive your teeth impression(s) our Orthodontist and technicians will put together your plan and show you how your teeth will eventually look when your treatment is completed, You must provide us with well made teeth impressions for us to make you your aligners.Once we agree to move forward you will receive your sets of aligners in just a couple weeks. Our clear Custom Braces from Armor Guard works by wearing our aligner trays over your teeth usually each set for two weeks at a time. Armor Guard aligners will slowly and gently move your teeth into the correct position. With traditional braces you would have noticeable metal brackets that need to be attached to your teeth and wires to be tightened often. With our clear braces you will have a new set of aligner trays that you will change into about every two weeks throughout your entire treatment plan. The number is aligner sets depend on how far your teeth need to be moved and adjusted. Your new clear aligners will be very inconspicuous so no one will know you are wearing them during your normal daily activities and lifestyle. Not all customers will qualify because each case is different.
TrustPilot
1 周前
4天前